o.—l.
Records were commenoed on this instrument on the 19th November, 1901. The instrument is erected on a brick pillar standing on a concrete foundation, sunk t j a depth of about 4 ft. 6 in. The concrete is of the form of a truncated pyramid of square .section, the length of whose side at the bottom is 4 ft. 6 in., and on the top 1 ft. 6 in., from which rises the square-sectioned brick pillar referred to. The geological formation is an alluvial plain of considerable thickness, and in which are several water-bearing strata. From there the people of Christchurch derive their artesian water. There is also a permanent committee of the British Association which discusses all the records received by it, and a circular, together with prints of the principal disturbances, has been sent to the honorary secretary of the committee, Professor Milne. The origin of all the shocks recorded ■in the circular is at present unknown to me, as the return circulars have not yet arrived. The one shown on Plate VI. is one of those recorded in the circular ; it is not typical of the rest, for there is infinite variety in the records. This shock has also been recorded at Hamburg. Since the end of the financial year we have recorded in Christchurch, and I believe, too, Mr. Hogben has also recorded it in Wellington, a shock whose origin can, I think, be stated. News by the mail reached us some little time ago that a disastrous earthquake had occurred in Guatemala, killing some five hundred persons, and destroying Amitilan, a town of ten thousand inhabitants, and Queneultunago, the second city of Guatemala. This disastrous affair took place on the 18th April. On our record for the 19th April the disturbance, which is reproduced (see Plate VII.), occurs. Bearing in mind that the greater part of the 18th at Guatemala occurs on the 19th in New Zealand, and also the fact that the distance of the origin of the earthquake from Christchurch, obtained by the only means there is of determining the distance from a single record, corresponds to the distance of a point situated quite a little to the west of Guatemala, there is good reason to think that this is the record as obtained in Christchurch of this dreadful earthquake.* The visit of the "Discovery "to New Zealand has been alluded to. Her making Lyttelton her port of departure was entirely due to the existence of a magnetic observatory in Christchurch, where the officers could compare their instruments and determine their constants before setting out. She remained in Lyttelton nearly a month, and during that time three of her officers—Lieutenant Armitage, F.R.G.S. ; Lieutenant Barnes, F.R.G.S.; and Mr. L. Bernacchi, F.R.G.S.—were constantly at the Observatory. Of these gentlemen two have already had polar experience. Mr. Armitage was one of the Jackson-Harmsworth expedition to Franz Josef Land which brought Nansen back to civilisation after his remarkable sledge journey on the ice—indeed, it was Mr. Armitage who first saw Nansen on the ice, I believe; and Mr. Bernacchi was one of the " Southern Cross " expedition to the antarctic which returned a few years ago. The land party of this expedition was the first to winter in the desolate regions of the extreme south. Their ship, the " Southern Cross," returned to temperate zones for the winter. Mr. Bernacchi has given a very interesting account of the hardships endured in his book "To the South Polar Regions," whilst an account of the magnetic and meteorological work of the expedition has been published in the Philosophical Transactions of the Royal Society of London. The " Discovery " expedition
* Since writing the above news has reached me that a heavy shock was reoorded at the Isle of Wight on this day. They are doubtless both the same, and we shall probably find that it has been felt over the whole earth.— (Vide Nature, 15th May, 1902, p. 57.)
93
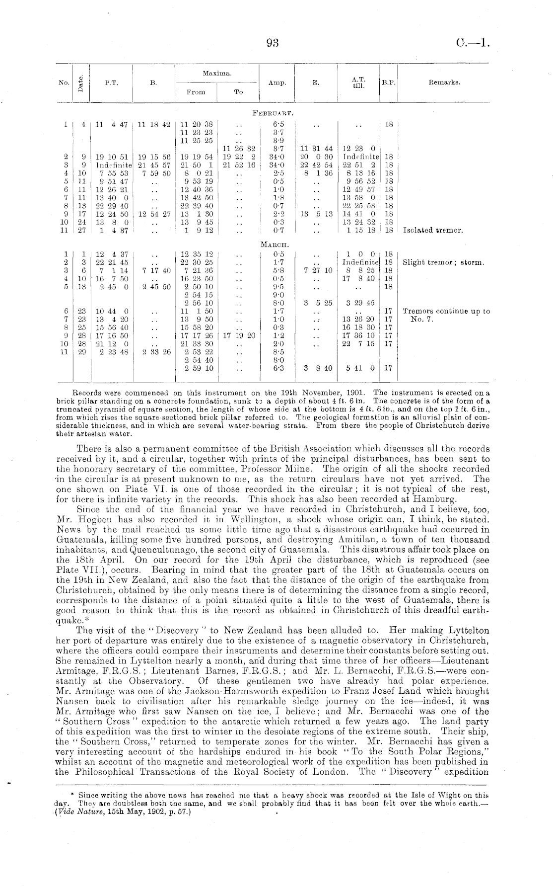
Maxirna. No. s q P.T. B. From To Amp. E. A.T. till. B.P. Remarks. 1BKUARY. 2 3 4 5 6 7 8 9 10 II. 9 9 Id 11 11 11 L3 17 24 27 11 4 47 19 10 51 ! Indefinite! 7 55 53 9 51 47 12 26 21 13 40 0 22 29 40 12 24 50 13 8 0 1 4 37 11 18 42 19 15 56 21 45 57 7 59 50 11 20 38 11 23 23 11 25 25 19 19 54 21 50 1 8 0 21 9 53 19 12 40 36 13 42 50 22 39 40 13 1 30 13 9 45 1 9 12 11 26 32 19 22 2 21 52 16 6-5 37 3-9 3-7 . 34-0 34-0 2-5 0-5 1-0 1-8 07 2-2 03 0-7 11 31 44 20 0 30 22 42 54 8 1 36 12 23 0 Indefinite 22 51 2 8 13 16 9 56 52 12 49 57 13 58 0 22 25 53 14 41 0 13 24 32 1 15 18 18 18 IK 18 IK 18 18 18 18 18 IK 12 54 27 13 5 13 Isolated tremor. 1 2 3 4 5 1 3 6 10 13 12 4 37 22 21 45 7 1 14 ■ 16 7 50 2 45 0 10 44 0 13 4 20 15 56 40 i 17 16 50 21 12 0 2 23 48 7 17 40 2 45 50 12 35 12 22 30 25 7 21 36 16 23 50 2 50 10 2 54 15 2 56 10 11 1 50 13 9 50 15 58 20 17 17 26 21 33 30 2 53 22 2 54 40 2 59 10 Maeoh. 05 1-7 5-8 0-5 9-5 9-0 8-0 1-7 1-0 0-3 1-2 2-0 8-5 8-0 6-3 7 27 10 3 5 25 10 0 Indefinite 8 8 25 17 8 40 3 29 45 18 IK 18 18 18 Slight tremor; storm. Tremors continue up t No. 7. 6 7 8 9 10 11 23 23 26 28 28 29 17 19 20 13 26 20 16 18 30 17 36 10 22 7 15 17 17 17 17 17 2 33 26 3 8 40 5 41 0 17
Use your Papers Past website account to correct newspaper text.
By creating and using this account you agree to our terms of use.
Your session has expired.